
ตำรวจสอบสวนกลาง (CIB) รวบสาวเปิดบ้านรับจัดฟันเถื่อนลวดดัด ยางเชน อุปกรณ์จัดฟันแฟชั่นมีครบ เปิดหาลูกค้าโฆษณาทางออนไลน์
ตำรวจสอบสวนกลาง (CIB) โดย กองบังคับการปราบปรามการกระทำความผิดเกี่ยวกับการคุ้มครองผู้บริโภค (บก.ปคบ.) พร้อมด้วยเจ้าหน้าที่ชุดจับกุม ได้ร่วมกันจับกุม นางสาวนภัค อายุ 35 ปี ในความผิดฐาน “ฝ่าฝืนคำสั่งคณะกรรมการคุ้มครองผู้บริโภค ขายสินค้าที่คณะกรรมการคุ้มครองผู้บริโภคมีคำสั่งห้ามขาย (สินค้าอุปกรณ์จัดฟันแฟชั่น), ดำเนินการสถานพยาบาลโดยไม่ได้รับอนุญาต, ประกอบกิจการสถานพยาบาลโดยไม่ได้รับอนุญาตและประกอบวิชาชีพทันตกรรมโดยไม่ได้รับอนุญาต”
พร้อมของกลางที่ตรวจยึดได้
1.แบคเก็ท 13 แผง ราคาประมาณ 1,950 บาท
2.ยางเชน 12 เส้น ราคาประมาณ 600 บาท
3.ยางโอลิง 114 แท่ง ราคาประมาณ 2,280 บาท
4.ท่อสี 15 เส้น ราคาประมาณ 750 บาท
5.ลวดดัดฟันแบบม้วน จำนวน 2 ม้วน ราคาประมาณ 500บาท
6.ลวดดัดฟันแบบ เส้น จำนวน 1 แพ็ค ราคาประมาณ 250บาท
7. น้ำยาทำความสะอาดฟัน จำนวน 2 หลอด ราคาประมาณ 400 บาท
8. กาวสำหรับติดแบ็คเก็ต จำนวน 2 หลอด ราคาประมาณ 700 บาท
9. ที่ถ่าง ปาก 1 อัน ราคาประมาณ 50 บาท
10. อุปกรณ์สำหรับใช้เกี่ยวยางดัดฟัน ราคาประมาณ 180บาท
11. คีมสำหรับคีบอุปกรณ์หนึ่งอัน ราคาประมาณ 200 บาท
12. สำลีก้อนหนึ่งแพค ราคาประมาณ 25 บาท
13. ตัวอย่างสียางโอลิง 1 แผง ราคาประมาณ 200 บาท
14. เตียงนอนสำหรับจัดฟัน ราคาประมาณ 500 บาท
รวมทั้งสิ้น 14 รายการ รวมมูลค่าประมาณ 8,585 บาท
โดยจับกุมได้ที่บ้านพัก ตำบลบ้านคลอง อำเภอเมือง จังหวัดพิษณุโลก เมื่อวันที่ 5 พฤษภาคม ที่ผ่านมา หลังจากตำรวจกองกำกับการ ๑ กองบังคับการปราบปรามการกระทำความผิดเกี่ยวกับการคุ้มครองผู้บริโภค ได้รับแจ้งเบาะเเสว่า มีผู้ลักลอบนำสินค้าอุปกรณ์จัดฟันแฟชั่นมาจำหน่ายและให้บริการให้แก่ประชาชนทั่วไป โดยมีการโฆษณาขายที่สื่อสังคมออนไลน์เฟซบุ๊ก ชื่อบัญชี “จัดฟันแฟชั่นพิษณุโลก ปลอดภัย ติดแน่น เหมือนจัดจริง” ตำรวจชุดจับกุม จึงได้ทำการสืบสวนจนทราบว่ามีผู้นำสินค้าอุปกรณ์จัดฟันแฟชั่นมาจำหน่ายและให้บริการจริงในเพจดังกล่าว
จากนั้นตำรวจชุดจับกุมจึงได้วางแผนให้สายลับติดต่อเข้ารับบริการ โดยตกลงทำการจัดฟันแฟชั่นในราคา 1,000 - 1,500 บาท และได้ตกลงโอนเงินมัดจำไปยังบัญชีธนาคาร ชื่อบัญชี นางสาวนภัค โดยตกลงนัดหมายให้เข้ารับบริการจัดฟันแฟชั่นที่บ้านพัก
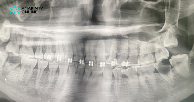
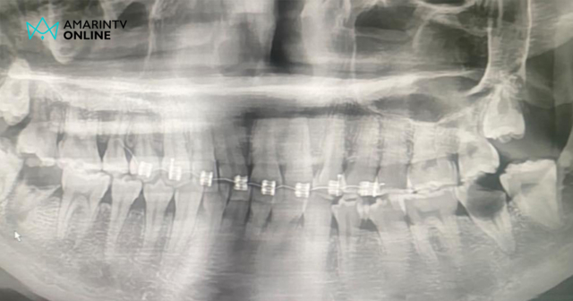
เมื่อถึงกำหนดนัด นางสาวนภัค ได้มีการทำการแนะนำการบริการจัดฟันแฟชั่น โดยมีอุปกรณ์จัดฟันแฟชั่น ทั้งลวด ยางวงที่นำไปคล้องหรือผูกติดไว้ในบริเวณช่องปากหรือบนฟัน ซึ่งเป็นสินค้าที่ห้ามขายตามคำสั่งคณะกรรมการคุ้มครองผู้บริโภค และเมื่อนางสาวนภัค เริ่มทำการจัดฟันแฟชั่นให้กับสายลับ ตำรวจจึงได้เข้ามายังสถานที่เกิดเหตุ
สอบถามนางสาวนภัค ยอมรับว่าอุปกรณ์จัดฟันแฟชั่นดังกล่าวเป็นของตนเองจริง โดยมีไว้จำหน่ายและให้บริการกับเป็นประชาชนทั่วไป
ตำรวจจึงได้แจ้งข้อหาความผิดฐาน“ฝ่าฝืนคำสั่งคณะกรรมการคุ้มครองผู้บริโภค ขายสินค้าที่คณะกรรมการคุ้มครองผู้บริโภคมีคำสั่งห้ามขาย (สินค้าอุปกรณ์จัดฟันแฟชั่น), ดำเนินการสถานพยาบาลโดยไม่ได้รับอนุญาต, ประกอบกิจการสถานพยาบาลโดยไม่ได้รับอนุญาต และประกอบวิชาชีพทันตกรรมโดยไม่ได้รับอนุญาต”
จากนั้นจึงนำตัวนางสาวนภัค พร้อมของกลางนำส่งพนักงานสอบสวน สถานีตำรวจภูธรเมืองพิษณุโลก เพื่อดำเนินคดีตามกฎหมายต่อไป
Advertisement