
จากกรณีที่มีคุณแม่ท่านหนึ่งได้โพสต์คลิปวีดีโอลูกชายวัย 4 ขวบที่กำลังหัวเราะ ในอิริยาบถต่างๆ ลักษณะแบบเป็นการหัวเราะนานได้นานซึ่งในคลิปวิดีโอก็ดูปกติเหมือนว่าน้องเป็นเด็กร่าเริงแจ่มใส แต่พออ่านข้อความคุณแม่กลับระบุว่า เมื่อเสียงหัวเราะของลูกไม่ใช่ความสุขของพ่อแม่อีกต่อไป ลูกน้อยป่วยเนื้องอกหัวเราะ Hypothalamic Hamartoma อาการชักแบบหัวเราะ เด็กจะหัวเราะเองโดยไม่มีสาเหตุ

ล่าสุดวันที่ 9 ก.ย. 65 ทีมข่าวได้พูดคุยกับคุณแม่เจ้าของคลิป คุณแม่อัจฉรา สีตะลหฤทัย กล่าวว่า ลูกชายของตนอายุ 4 ขวบ 5 เดือน ที่ผ่านมาลูกมีอาการหัวเราะเป็นลักษณะแบบหัวเราะยาวๆ ตอนแรกก็คิดว่าลูกเป็นคนที่อารมณ์ดีแต่พอน้องเริ่มโตขึ้นเรื่อยๆ ก็ยังคงหัวเราะอยู่ แต่แม่เริ่มสังเกตเห็นว่า การหัวเราะของน้องไม่มีสาเหตุอยู่ดีๆ ก็หัวเราะ นอกจากหัวเราะแล้วช่วง 2-3 เดือนที่ผ่านมาก็ยังพบว่าน้องมีอาการชักเกร็งอีกด้วย

ในช่วงเดือน มิ.ย. แม่จึงพาน้องไปตรวจที่โรงพยาบาลที่จังหวัดพิษณุโลก ซึ่งแพทย์บอกว่าอาการหัวเราะของน้องและอาการชักเกร็ง ผิดปกติ ไม่ใช่อาการชักเกร็งแบบคนที่เป็นโรคชักเกร็งทั่วไปซึ่งกินยาก็หายได้ จึงได้ส่งน้องมาตรวจที่โรงพยาบาลใหญ่ในกรุงเทพฯ

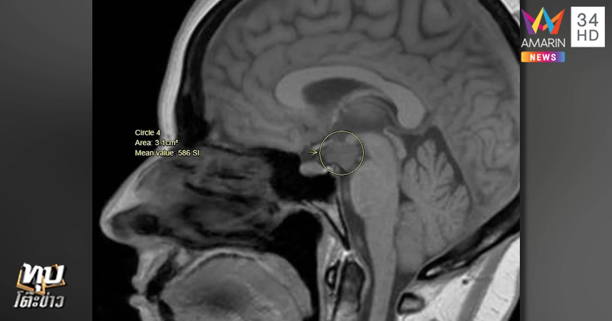
ปรากฏว่าหมอวินิจฉัยว่า น้องเป็นโรคเนื้องอกหัวเราะ จากการตรวจคลื่นสมองพบว่ามีเนื้องอกอยู่ที่บริเวณแกนกลางของสมอง จึงไปกดทับเส้นประสาทส่วนที่ทำให้หัวเราะและชักเกร็งและกระตุก

โดยแนวทางในการรักษาหมอให้น้องลองกินยายับยั้งอาการชักแล้วทั้งหมด 3 ตัวยา ปรากฏว่าไม่มีตัวยาไหนที่ช่วยได้ตอนนี้กำลังจะเริ่มกินยาตัวที่ 4 หากพบว่ายาสามารถช่วยระงับการชักของน้องได้น้องก็อาจจะต้องกินยาไปตลอดชีวิตโดยไม่ต้องผ่าตัด เพราะเนื้องอกนี้ไม่อันตราย แต่ที่อันตรายคืออาการชักเกร็ง ไม่รู้สึกตัวอาจทำให้ล้มหัวฟาดพื้นได้

หากไม่มียาตัวไหนช่วยระงับอาการชักเกร็งของน้องได้ ก็อาจจะต้องใช้วิธีการเจาะสมองส่วน electrol ใช้ความร้อนผ่าตัดเนื้องอกสาเหตุที่ทำให้หัวเราะและชักกระตุก

โดยคุณแม่ยังบอกอีกว่าแต่ละวันน้องจะมีอาการหัวเราะชักและกระตุกอยู่ประมาณ 4-5 ครั้ง แต่ละครั้งเวลาประมาณ 15 นาที โดยครอบครัวต้องคอยดูแลน้องตลอดเวลา เวลาที่น้องมีอาการครอบครัวทำได้เพียงนำตัวน้องมาสวมกอด ไม่ให้เกิดอุบัติเหตุระหว่างที่น้องชักกระตุกสักพักอาการก็จะหายไป โดยน้องมักจะบอกกับแม่ว่าน้องเหนื่อย แต่ก็ไม่เคยบอกว่าเจ็บตรงไหน

สำหรับความรู้สึกของคนเป็นแม่ก็รู้สึกน้อยใจในโชคชะตาที่ทำไมโลกประหลาดแบบนี้ต้องมาเกิดกับลูกของเรา รู้สึกอยากขอโทษลูกที่ทำให้เขาเกิดมาเป็นแบบนี้ ซึ่งหมอก็ยังไม่ได้บอกแม่ว่าลูกแม่มีโอกาสที่จะหายเป็นปกติหรือไม่

ทีมข่าวได้พบกับน้องโปรตอน วัย 4 ขวบ ซึ่งมาพร้อมกับคุณแม่และครอบครัว ถ้าดูโดยทั่วไปเป็นเด็กปกติดูร่าเริงแจ่มใส ทีมข่าวลองพูดคุยด้วยก็สามารถตอบโต้พูดคุยได้ปกติ
Advertisement