
วันที่ 24 มี.ค.2569 หน่วยกู้ชีพ อบต.สูงเนิน อ.กระสัง จ.บุรีรัมย์ รับแจ้งจากผู้บาดเจ็บว่ามีอาการเจ็บหน้าอกเฉียบพลันและเริ่มจะทนไม่ไหวเพราะพยายามช่วยเหลือตัวเองด้วยการกินน้ำแล้วเดิน แต่ไม่หาย
เมื่อเจ้าหน้าที่ไปรับตัวที่บ้านเสม็ด ต.สูงเนิน อ.กระสัง พบนายบุญเลิศ สัตตารัมย์ อายุ 27 ปี ยืนหน้านิ่วคิ้วขมวดเอากุมหน้าอกเดินมาพบเจ้าหน้าที่ ตรวจสอบเบื้องต้นไม่พบร่องรอยหรือบาดแผลของผู้บาดเจ็บ เจ้าหน้าที่จึงนำตัวส่งโรงพยาบาลกระสัง
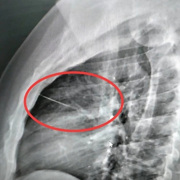
เมื่อไปถึงโรงพยาบาลอาการของนายบุญเลิศ ก็ยังไม่ดีขึ้น หมอจึงนำตัวไปเอกซ์เรย์ ปรากฏว่ามีวัตถุคล้ายของมีคมขนาดเล็กความยาวประมาณ 7 ซม.ทราบต่อมาว่าเป็นเข็มเย็บผ้าฝังอยู่บริเวณหน้าอกซ้ายใกล้กับหัวใจ แพทย์จึงส่งตัวไปผ่าตัดที่โรงพยาบาลศูนย์บุรีรัมย์ เพราะเป็นจุดอันตราย
เพื่อนบ้าน เล่าว่า ตอนนั้นได้ยินแค่เสียงร้องว่าให้ติดต่อรถพยาบาล แต่ตนไม่สบายลุกไปไม่ได้ นานกว่า 2 ชม.ที่ได้ยินเสียงร้องกว่ารถกู้ภัยจะมารับตัวไป
หลานคนเจ็บ เล่าว่า ตอนนี้แพทย์แจ้งว่าอาการสาหัส ติดต่อมาให้ญาติไปเซ็นหนังสือเพื่อจะทำการผ่าตัด เบื้องต้นพบว่าเป็นเข็มเย็บผ้าที่น้าชายลืมไว้เองบนที่นอน และคาดว่าจะเหนื่อยจากการทำงานแล้วล้มตัวนอนบนที่นอน แล้วไปโดนเข็มแทงหน้าอกดังกล่าว
Advertisement